류마티스 관절염(Rheumatoid Arthritis) | 서울건우 | 의학정보
페이지 정보
서울건우 0 Comments 81 Views 26-03-26 14:53본문
정의
류마티스 관절염은 우리 몸의 면역 체계가 알 수 없는 이유로 자신의 관절을 공격하여 발생하는 만성 염증성 질환입니다.
주로 손 관절을 떠올리기 쉽지만, 실제로는 발 관절에도 매우 빈번하게 침범합니다.
발가락 마디마디에 염증이 생기면서 관절을 파괴하고, 결국 뼈의 정렬을 무너뜨려 심각한 발 변형을 일으키는 것이 특징입니다.

원인
- 자가면역 반응: 외부 적을 공격해야 할 면역 세포가 정상적인 관절 활막을 공격하여 발생합니다. 구체적인 원인은 아직 밝혀지지 않았으나 유전적 요인과 환경적 요인이 복합적으로 작용합니다.
- 관절 활막의 증식: 염증으로 인해 관절을 둘러싼 활막이 두꺼워지면서 연골과 뼈를 파고들어 관절 구조를 파괴합니다.
- 인대 및 연부조직 약화: 만성적인 염증은 관절 주변의 인대를 약화시켜 류마티스 관절염뿐 아니라 무지외반증이나 소건막류, 망치족지, 갈퀴발가락 같은 족부 변형을 가속화시킬 수 있습니다.

증상
- 조조강직: 아침에 일어났을 때 발가락이나 발목 관절이 뻣뻣하고, 이 증상이 1시간 이상 지속됩니다.
- 다발성 관절염: 한곳이 아니라 양쪽 발의 여러 관절이 동시에 붓고 아픈 대칭성 통증이 나타납니다.
- 발 변형: 엄지발가락이 심하게 휘는 무지외반증, 발가락이 굽는 변형, 발바닥 앞쪽의 굳은살과 통증이 동반됩니다.
- 전신 증상: 관절 통증 외에도 피로감, 식욕 부진, 미열 등이 나타날 수 있습니다.
진단/검사
- 신체 검진: 관절의 부종, 압통, 변형 정도와 보행 패턴을 면밀히 관찰합니다.
- 혈액 검사: 혈액 검사를 통해 류마티스 인자(RF), 항CCP 항체, 염증 수치(ESR, CRP) 등을 확인합니다.
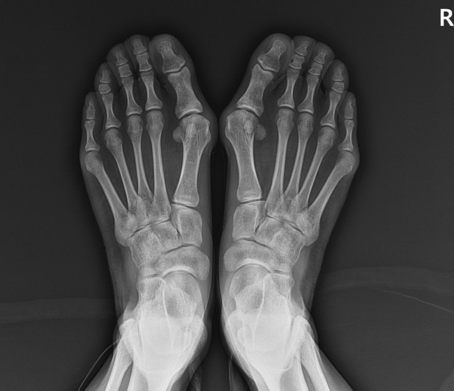
- 영상 검사(X-ray): 관절 간격이 좁아졌는지, 뼈에 미세한 골미란(깎임)이 있는지 확인합니다.
- 초음파/MRI: 관절 내 활막의 증식 정도와 인대 상태를 정밀하게 평가합니다.
치료
1) 비수술 치료법 (내과적 조절이 핵심)
류마티스는 전신 질환이므로 '질환의 활성도'를 조절하는 것이 우선입니다.
- 약물 치료: 항류마티스 약제(DMARDs)를 통해 염증의 진행을 억제하고 관절 파괴를 늦춥니다.
- 물리치료 및 맞춤 깔창: 물리치료와 변형된 발의 압력을 분산시키는 특수 깔창(인솔)을 제작하여 통증을 완화할 수 있습니다.
- 적극적 초기 대처: 마디마디 통증이 시작될 때 적극적으로 염증을 조절하여 변형으로 이행되는 것을 막아야 합니다.
2) 수술 치료법
비수술적 관리에도 불구하고 발 변형이 심해져 신발 신기가 힘들거나 통증이 극심할 때 시행합니다.
- 관절 변형 교정술 : 휘어진 손가락 혹은 발가락 뼈의 정렬을 맞추는 수술입니다. 관절 변형 교정술을 하는 경우 류마티스 환자는 재발 위험이 높으므로 구조를 보존하면서도 견고하게 정렬을 회복하는 것이 중요합니다.
- 관절 유합술 및 성형술: 관절 파괴가 너무 심한 경우, 통증을 없애기 위해 관절을 고정하거나 기능을 회복시키는 관절유합술, 성형술을 실시할 수 있습니다.
합병증
방치할 경우 관절이 완전히 굳거나 탈구되어 보행이 불가능해질 수 있습니다. 또한, 약해진 피부에 상처가 나면 염증 때문에 잘 낫지 않고 궤양으로 발전할 위험이 크므로 발 관리에 각별한 주의가 필요합니다.
예방/관리법
- 내과-정형외과 협진: 내과에서 염증 수치를 조절하고, 정형외과에서 변형된 관절 기능을 관리하는 이원화된 관리가 필수입니다.
- 편안한 신발 선택: 발 변형이 있는 경우, 볼이 넓고 쿠션이 충분하며 발가락을 압박하지 않는 신발을 착용합니다.
-주기적인 관찰: 류마티스 환자는 발에 상처나 굳은살이 생기지 않았는지 매일 확인해야 합니다.

[치료 사례 : 오랜고민 끝에 무지외반증, 소건막류 수술을 결정한 류마티스 환자]

상태: 류마티스 진단 후 약물 복용 중이었으나, 엄지발가락 변형이 급격히 진행되어 2번째 발가락까지 겹쳐지고 신발 착용이 불가능해진 50대 여성. "류마티스 관절염이 있는데 휘어진 발가락 교정 치료가 가능할까요?", "수술 후 재발하는 경우가 많은가요?" 불안감을 호소하고 방문함.
진단: X-ray상 관절 간격이 매우 좁아졌고 엄지발가락이 옆으로 회전 변형된 상태 확인.
치료: 염증 수치를 안정시킨 후, 관절을 최대한 살리면서 정렬을 바로잡는 무지외반증(엄지발가락) 최소침습술 및 소건막류(새끼발가락) 교정술 시행.
결과: 수술 다음날 부터 특수신발을 신고 보행하며, 수술 후 부기는 4주 차부터 가라앉고 휘었던 발가락이 곧게 펴짐. 발가락을 교정하면서 발톱 방향도 정상적으로 위를 향하게 되었으며 현재는 통증 없이 정상 보행 중.

류마티스 관절염 자주 묻는 질문 (FAQ)
Q. 류마티스 내과와 정형외과 중 어디를 가야 하나요?
A. 류마티스 관절염은 '내과적 질환'이면서 '외과적 변형'을 일으키는 병입니다. 질환 자체의 염증 수치를 조절하는 것은 내과의 역할이지만, 이미 발생한 관절의 통증과 뼈의 변형을 치료하고 수술하는 것은 정형외과의 영역입니다. 만약, 족부 변형이 심하다면 일반 정형외과 보다는 비수술, 수술치료가 관절 변형의 정도에 맞게 평가할 수 있는 족부 경험이 많은 의료진이 있는 병원을 찾는 것이 바람직합니다.
Q. 류마티스 환자는 수술해도 다시 변형된다는데 사실인가요?
A. 류마티스 환자는 그렇지 않은 사람에 비해 인대와 연부조직이 약해 재발 위험이 있는 것은 사실입니다. 그렇기 때문에 수술 전,후로 철저한 염증 조절이 병행되어야 합니다. 서울건우정형외과에서는 류마티스로 인한 관절 변형이 있는 환자들의 비수술, 수술 치료를 포함하여 재발 방지를 위해 정확한 교정 범위를 설정하고, 수술 후에도 맞춤형 깔창과 재활을 통해 정렬을 오래 유지하도록 관리합니다.
Q. 수술 후 느낄 수 있는 변화는 어느 정도인가요?
A. 류마티스로 인한 발 변형 수술 후 변화는 눈으로 보이는 정도입니다. 신발을 신지 못할 정도로 휘어지고 아팠던 발이 곧게 펴지면 환자분들이 대체로 삶의 질도 많이 올라갔다고 표현하기도 하는데요. 특히 이미 심한 상태라면 변형이 여러 부위로 번지기 전에 적절한 시기에 수술을 받는 것이 중요합니다.
발과 발목의 건강, 왜 '서울건우정형외과'여야 할까요?
류마티스 관절염으로 인한 발의 통증은 단순히 뼈의 문제만이 아닙니다. 전신 염증 상태와 발의 정렬, 기능적인 부분까지 모두 고려해야 하는 까다로운 영역입니다.
서울건우정형외과는 정형외과 전문의를 취득하고 국, 내외 16년 이상 족부만을 집중 진료해온 최홍준 대표원장의 풍부한 임상 경험을 바탕으로 류마티스 환자분들에게 최적의 치료 방법을 제공합니다.
- 족부 특화 정밀 진단: 일반적인 엑스레이뿐만 아니라 관절의 세밀한 파괴 정도를 파악하는 전문 영상 장비 보유.
- 내과적 고려를 포함한 비수술, 수술 계획: 환자의 상태를 고려하여 비수술, 수술 치료법과 시점을 결정.
- 수술 후 체계적인 관리 병행 : 수술 후 재발을 막기 위한 맞춤형 재활과 보조기 시스템 운영.
"류마티스니까 어쩔 수 없지"라고 참고 넘기지 마세요. 족부를 중점으로 진료하는 의료진과 상의하면 다시 편안하게 걸을 수 있는 방법이 반드시 있습니다.
댓글목록
등록된 댓글이 없습니다.




