발목골절(Ankle Fracture) | 서울건우 | 의학정보
페이지 정보
서울건우정형외과 0 Comments 309 Views 26-02-10 16:47본문
서울 강동구에 위치한 서울건우정형외과는 발·발목(족부·족관절) 질환을 중점으로 진료합니다.
특히 *발목 골절(Ankle Fracture)*은 넘어지거나 접질린 직후 통증과 붓기가 급격히 심해져,
응급 상황처럼 급하게 병원을 찾는 경우가 많습니다.
이때 중요한 건 “일단 고정”만이 아니라, 관절 정렬이 어긋났는지,
수술이 필요한 골절인지를 빠르게 구분하고 치료 방향을 잡는 것입니다.
서울건우정형외과는 강동구뿐 아니라 하남·미사 등 인근 지역에서
내원하시는 환자분들도 많아, 발목 손상 초기 평가부터 비수술 치료, 수술, 재활까지
한 흐름으로 치료 계획을 안내드립니다.
하버드대학병원 족부족관절 연구소 연수 및 대학병원 족부센터 교수로
임상 경험을 갖춘 정형외과 의학박사 의료진이
근거 중심의 진단과 치료를 지향합니다.
지금부터 발목 골절을 포함해 발·발목 질환에 대한 의학 정보를
쉽고 정확하게 정리해드리겠습니다.

발목골절은 단순히 “뼈가 금 간 것”으로 끝나지 않고,
관절 정렬(맞물림)이 조금만 어긋나도 이후 발목관절염·만성 통증·불안정성으로 이어
질 수 있어 초기 평가가 매우 중요합니다.
정의
발목골절은 발목을 이루는 뼈(경골·비골·거골 등)에 금이 가거나 부러진 상태를 말합니다.
특히 발목은 체중부하 관절이기 때문에,
골절 후 *관절면(연골)*과 정렬이 정상적으로 유지되는지가 치료 방향을 결정합니다.
원인
- 계단·빙판길에서의 미끄러짐/접질림
- 스포츠 중 충돌, 점프 착지 실수
- 교통사고 등 강한 외상
- 골다공증이 있는 경우 비교적 작은 충격에도 발생할 수 있습니다.
증상
- 즉시 심해지는 통증, 부종(붓기)
- 체중을 싣기 어려움(보행 곤란)
- 멍(피하출혈), 변형(틀어져 보임)
- 발목을 움직이기 힘들고, 압통이 뚜렷함
진단/검사
- X-ray(기본 검사): 골절 위치/형태, 전위(어긋남) 확인
- 필요 시 CT: 관절면 골절, 미세 골절, 수술 계획 평가
- 필요 시 MRI: 인대 손상, 연골/힘줄 동반 손상 평가
※ 발목골절은 “뼈만” 보는 것이 아니라, 관절 정렬 + 인대 손상 동반 여부를 함께 봐야 합니다.
치료
치료 목표는 통증 감소뿐 아니라,
관절 정렬과 안정성을 회복해 이후 관절염 위험을 낮추는 것입니다.
1) 비수술치료(보존적 치료)
조건을 만족하면 비수술치료를 고려할 수 있습니다.
- 골절의 전위가 거의 없고
- 관절 정렬이 유지되며
- 불안정성이 크지 않은 경우
보통은 깁스/보조기 고정 + 체중부하 제한(목발) 후, 단계적으로 재활을 진행합니다.
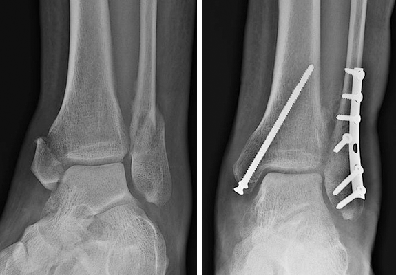
2) 수술치료(발목골절 수술이 필요할 때)
다음과 같은 경우에는 **수술적 치료(내고정술 등)**를 고려하게 됩니다.
- 골절 조각이 어긋난 경우(전위)
- 발목 관절의 맞물림(정렬)이 무너진 경우
- 불안정 골절(인대 손상 동반 등)로 고정 없이는 유지가 어려운 경우
- 관절면을 포함한 골절로 **정확한 정복(맞춤)**이 필요한 경우
발목골절 수술은 단순히 “붙이는 수술”이 아니라, 발목 관절의 정렬을 최대한 정확히 복원하는 것이 핵심입니다.
서울건우정형외과는 족부·족관절 중점 진료를 바탕으로, 골절의 형태와 관절 안정성을 정밀하게 평가하여
비수술이 가능한 경우는 안전하게 보존적 치료를, 수술이 필요한 경우는 정렬 복원을 목표로 치료 계획을 안내드립니다.
재활(회복 과정)
발목골절의 예후는 “수술 여부”보다 정렬 회복 + 재활의 타이밍이 크게 좌우합니다.
- 초기: 부종·통증 관리, 고정 및 체중부하 제한
- 중기: 관절 가동 범위 회복, 근력 강화
- 후기: 균형감각·보행 패턴 교정, 운동 복귀(개인 맞춤)
회복 기간은 골절 형태와 치료 방법에 따라 다르므로, 무리한 조기 보행은 피하는 것이 좋습니다.
합병증
- 발목관절염(외상 후 관절염)
- 만성 통증, 강직(뻣뻣함)
- 불유합/부정유합(붙지 않거나 틀어져 붙는 경우)
- 인대 손상에 따른 불안정성
예방/관리법
- 미끄러운 환경 주의(빙판길, 젖은 타일)
- 발목 주변 근력·균형감각 강화
- 골다공증 관리(해당 시)
- 골절이 의심되면 초기에 정확한 영상검사와 정렬 평가가 중요합니다.
#발목골절,#Ankle fracture,#발목골절증상,#발목골절깁스, #발목골절수술, #발목골절수술필요할 때, #발목골절회복기간, #발목골절CT, #발목골절MRI,#발목관절정렬, #외상후발목관절염, #족부족관절정형외과, #서울건우정형외과, #족부전문의
서울건우정형외과의원
♠위치: 서울특별시 강동구 고덕로 429, 2,3F (5호선 강일역 1번 출구, 스타벅스 건물 2,3층)
♠전화: 02-426-9876
※ 본 글은 일반적인 의학 정보 제공 목적이며, 증상과 치료는 개인 상태에 따라 달라질 수 있습니다.
댓글목록
등록된 댓글이 없습니다.



